
누군가에게 미소는 단순한 표정이 아니라 삶의 희망입니다. 그러나 높은 치과 치료비는 많은 이들에게 미소조차 사치처럼 느껴지게 합니다.
통계청 자료에 따르면 우리나라 노인의 빈곤율은 38.2%, 노년 인구 10명 중 4명이 빈곤층으로 OECD 국가 중 가장 높은 수준에 속합니다.
연 평균 415만 원에 달하는 의료비 지출에도 불구하고, 특히 전악 임플란트와 같은 고액·고난이도 치과치료는 경제적 취약계층에게 사실상 불가능한 치료로 남아 있습니다.
메디하이는 이 불평등의 벽을 허물고자, 첫 CSR 캠페인이자 정기 사회공헌 프로그램인 ‘하이브릿지 케어’를 시작합니다. '하이브릿지(Hi-bridge)'는 '잃어버린 미소와 건강을 잇는 따뜻한 다리'가 되겠다는 메디하이의 철학을 담고 있습니다.
하이브릿지 케어 1차 캠페인 신청 안내

[지원 분야]
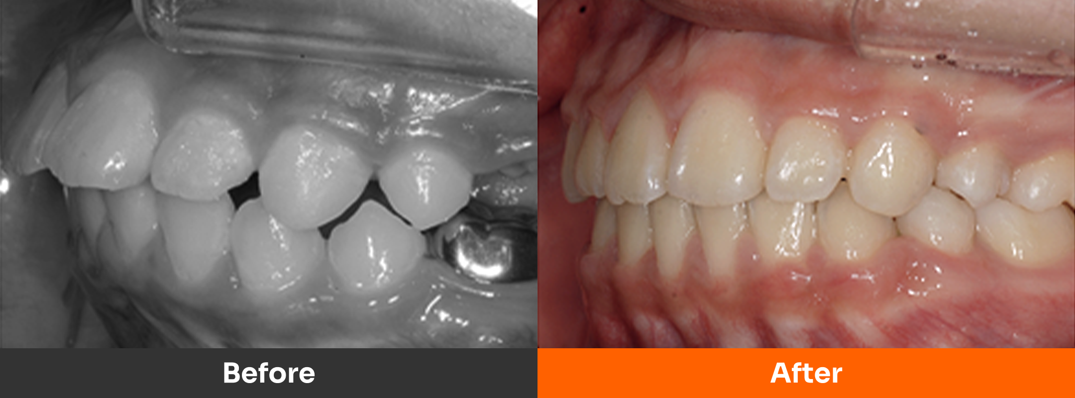
- 전악 임플란트가 필요한 무치악 환자
- 기능성 부정교합으로 일상생활에 어려움을 겪는 환자
1인당 최대 1,000만 원까지 치료비를 지원하여 건강한 미소를 되찾아 드릴 예정입니다.
[지원 대상]
- 국민기초생활수급자
- 차상위계층
- 중위소득 60% 이하 가정
- 국가유공자 및 그 배우자/자녀
[신청 기간]
- 2025년 10월 13일(월) ~ 10월 25일(토) 15시
하이브릿지 케어, 함께하는 병원
하이브릿지 케어, 1차 캠페인은 고난이도 임플란트 치료와 교정 분야에서 전문성을 인정받은 원데이치과의원이 협력 병원으로 함께합니다.
고난이도 치과치료 선구자 - 원데이치과의원
원데이치과는 2002년 개원 이후 하루 평균 96명, 누적 66만 명 이상의 환자를 진료하며 독보적인 디지털 치료 시스템으로 수많은 고난이도 치과치료를 성공적으로 이끌어온 신뢰의 전문 기관입니다.



- 디지털 치료 시스템: 1시간 평균 10개, 하루 최대 14개까지 임플란트 식립이 가능할 만큼 빠르고 정확한 기술력.
- 원데이 시스템: 자체 기공소를 운영하여 검사 → 식립 → 임시치아 부착까지 하루 만에 완료.
- 고난이도 치과치료 전문성: 기능성 부정교합을 비롯해 전신질환자·고령 환자도 안전하게 치료할 수 있는 경험과 기술 확보.
전신 질환이 있어도 안심하고 신청하세요

캠페인을 통해 만날 분들 중에서는 잇몸뼈가 약해지거나, 당뇨, 고혈압, 골다공증 등 다양한 전신질환을 가지고 계신 경우가 많습니다.
특히 전신질환이 있는 분들의 임플란트는 고난이도 수술 가능성이 높아, 대학병원 급의 디지털 기술력과 풍부한 임상 경험이 필요합니다.
원데이치과는 전신질환자 대상으로, 고난이도 임상 경험을 갖추고 있어 안심하고 신청하실 수 있습니다.
이번 캠페인을 이끄는 원데이치과의 김진환 대표원장님은 "단순히 기술력만 앞세우는 것이 아니라, 환자분들이 더 빠르고 편안하게 치료받을 수 있도록 늘 고민하는 따뜻한 진심을 전하고자 한다"고 밝혔습니다.
하이브릿지 케어, 어떻게 진행되나요?

하이브릿지 케어는 지원자의 진정성과 의료적 필요성을 모두 고려해 투명하고 공정하게 진행됩니다.
- 신청 접수:
- 온라인 접수: (네이버 로그인 필요) 👉신청서 작성(링크클릭)
※ 온라인 접수 시 유의사항
-네이버 계정이 없는 경우, 아래의 신청서 및 개인정보 동의서를 다운 받아 작성
-신청서류 및 주민등록등본과 증명 서류는 이메일(home@sungjinhds.com)로 직접 제출
- 서면 심사: 제출하신 서류(신청서, 개인정보동의서, 주민등록등본, 소득증명서류 중 택1)를 바탕으로 심사가 진행됩니다.
- 의료진 진단: 서면 심사 통과 후, 협력 병원 의료진의 정밀 진단이 이루어집니다.
- 대상자 선정: 심사와 진단을 종합하여 최종 대상자를 선정합니다.
- 치료 시작: 대상자분들과 협의하여 치료 일정을 조율하고 치료를 시작합니다.
하이브릿지, 건강하고 행복한 세상을 위한 첫걸음

메디하이의 첫 사회공헌 프로그램인 '하이브릿지 케어'는 단순히 일회성 치료 지원이 아닌, 의료 사각지대를 해소하기 위한 정기 사회공헌 캠페인입니다.
메디하이는 이웃의 미소가 곧 우리의 기쁨임을 믿습니다. 이번 1차를 시작으로 앞으로도 협력 병원과 함께 무상 임플란트·교정 지원과 같은 실질적인 의료 지원을 통해, 건강하고 행복한 세상을 만들어가는 책임 있는 기업이 되겠습니다.
하이브릿지 케어가 마무리되고 대상자분들이 건강한 미소를 되찾으시면, 치료 후기를 공유할 예정입니다. 이 캠페인을 통해 모두가 더 나은 삶을 누릴 수 있도록 함께 응원해 주시면 감사하겠습니다.