1인당 최대 1,000만 원까지
부정교합 치료비를 지원해 드립니다
하이브릿지 케어 1차 캠페인 신청 안내

[지원 분야]
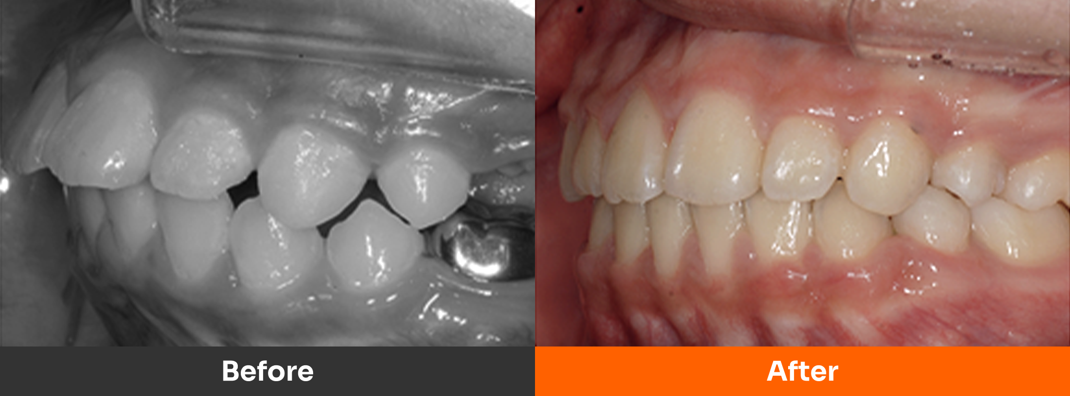
- 기능성 부정교합으로 일상생활에 어려움을 겪는 환자
- 전악 임플란트가 필요한 무치악 환자
1인당 최대 1,000만 원까지 치료비를 지원하여 건강한 미소를 되찾아 드릴 예정입니다.
[지원 대상]
- 국민기초생활수급자
- 차상위계층
- 중위소득 60% 이하 가정
- 국가유공자 및 그 배우자/자녀
[신청 기간]
- 2025년 10월 13일(월) ~ 10월 25일(토) 15시
하이브릿지 케어, 어떻게 진행되나요?

하이브릿지 케어는 지원자의 진정성과 의료적 필요성을 모두 고려해 투명하고 공정하게 진행됩니다.
- 신청 접수:
- 온라인 접수: 👉신청서 작성(링크클릭)
- 서면 심사: 제출하신 서류(신청서, 개인정보동의서, 주민등록등본, 소득증명서류 중 택1)를 바탕으로 심사가 진행됩니다.
- 의료진 진단: 서면 심사 통과 후, 협력 병원 의료진의 정밀 진단이 이루어집니다.
- 대상자 선정: 심사와 진단을 종합하여 최종 대상자를 선정합니다.
- 치료 시작: 대상자분들과 협의하여 치료 일정을 조율하고 치료를 시작합니다.
하이브릿지 케어, 그 첫 번째 시작

올바른 치열과 편안한 식사는 누군가에게 삶의 희망 그 자체입니다. 하지만 높은 치과 치료비 때문에 많은 이들은 기본적인 구강 건강 유지조차 사치처럼 여길 수밖에 없습니다.
연 평균 415만 원에 달하는 의료비 지출에도 불구하고, 특히 부정교합과 같은 치열 및 턱 기능 개선이 필요한 고액·고난이도 치과치료는 경제적 취약계층에게 사실상 불가능한 치료로 남아 있습니다.
메디하이는 이 불평등의 벽을 허물고자, 첫 CSR 캠페인이자 정기 사회공헌 프로그램인 ‘하이브릿지 케어’를 시작합니다. '하이브릿지(Hi-bridge)'는 '잃어버린 미소와 건강을 잇는 따뜻한 다리'가 되겠다는 메디하이의 철학을 담고 있습니다.
하이브릿지 케어, 함께하는 병원
하이브릿지 케어, 1차 캠페인은 고난이도 임플란트 치료와 교정 분야에서 전문성을 인정받은 원데이치과의원이 협력 병원으로 함께합니다.
고난이도 치과치료 선구자 - 원데이치과의원
원데이치과는 2002년 개원 이후 하루 평균 96명, 누적 66만 명 이상의 환자를 진료하며 독보적인 디지털 치료 시스템으로 수많은 고난이도 치과치료를 성공적으로 이끌어온 신뢰의 전문 기관입니다.


- 디지털 치료 시스템: 부정교합 환자의 골격 성장과 치아 배열을 고려한 디지털 교정 기술
- 정확한 교합 교정 시스템: 3차원 디지털 교합 장비로 치료 과정 전반의 교합상태를 확인
- 고난이도 치과치료 전문성: 세계적인 교정학술지 AJO-DO 등재된 교정 전문의가 직접 치료
어려운 치아교정, 안심하고 신청하세요

이번 캠페인을 이끄는 원데이치과의 김도훈 대표원장님은 '치과 진료가 꼭 필요한 분들이 경제적 이유로 치료를 미루지 않도록 돕는 것이 이번 캠페인의 가장 큰 의미'라며 '의료진의 작은 나눔이 사회 곳곳에 따뜻한 희망으로 전해지길 바란다'고 전했습니다.
하이브릿지, 건강하고 행복한 세상을 위한 첫걸음

메디하이의 첫 사회공헌 프로그램인 '하이브릿지 케어'는 단순히 일회성 치료 지원이 아닌, 의료 사각지대를 해소하기 위한 정기 사회공헌 캠페인입니다.
메디하이는 이웃의 미소가 곧 우리의 기쁨임을 믿습니다. 이번 1차를 시작으로 앞으로도 협력 병원과 함께 무상 부정교합 교정 지원과 같은 실질적인 의료 지원을 통해, 건강하고 행복한 세상을 만들어가는 책임 있는 기업이 되겠습니다.
하이브릿지 케어가 마무리되고 대상자분들이 건강한 미소를 되찾으시면, 치료 후기를 공유할 예정입니다. 이 캠페인을 통해 모두가 더 나은 삶을 누릴 수 있도록 함께 응원해 주시면 감사하겠습니다.